Affordable Wisdom Teeth Removal For Houston Residents
At the forefront of Houston's dental care, Dr. Sonny Naderi and his team at Best Dental have been dedicated to providing top-tier oral health services, with a special focus on wisdom teeth removal. Dr. Naderi's passion for dentistry, combined with his extensive experience and commitment to patient well-being, has made Best Dental a renowned destination for comprehensive and compassionate dental care in the heart of Houston, Texas. With a patient-centered approach and a reputation for excellence, Dr. Naderi and his skilled team strive to ensure each patient's comfort and satisfaction, particularly for those seeking effective solutions for wisdom teeth removal.
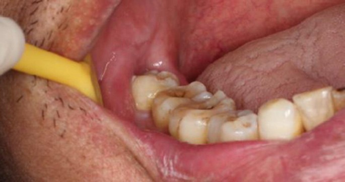
Wisdom Teeth Are Classified By Their Level Of Impaction In the Jawbone, And The Direction Of Their Eruption
- Erupted Wisdom Teeth
- Soft Tissue Wisdom Teeth
- Partial Bony Wisdom Teeth
- Full Bony Wisdom Teeth
- Horizontal Wisdom Teeth
- Angular Wisdom Teeth
- Vertical Wisdom Teeth
Fully erupted wisdom teeth refer to third molars that have emerged completely through the gums. These teeth typically appear in the late teens or early twenties, although the exact timing can vary from person to person. While fully erupted wisdom teeth may not cause immediate discomfort, they can still present challenges. Due to their location at the back of the mouth, they can be difficult to clean properly, which increases the risk of developing dental issues such as cavities, gum disease, or infections. In some cases, fully erupted wisdom teeth can also cause crowding or misalignment of the other teeth, leading to potential orthodontic problems.
To address fully erupted wisdom teeth, dental professionals may recommend regular monitoring to ensure that they do not cause any complications. Routine dental check-ups and X-rays can help detect any potential issues early on, allowing for timely intervention if necessary. In some instances, dentists may advise the removal of fully erupted wisdom teeth to prevent future complications, particularly if there is a risk of crowding, misalignment, or the development of dental problems. By proactively managing fully erupted wisdom teeth, individuals can maintain their oral health and prevent potential issues from arising in the future.
Soft tissue impaction of wisdom teeth is a common condition characterized by the incomplete eruption of the third molars through the gingival tissue. This occurs when the tooth fails to fully penetrate the gum line, leading to partial coverage or full submersion beneath the soft tissue. Soft tissue impaction can result in various complications, such as pain, swelling, and increased susceptibility to bacterial infection due to the difficulty in maintaining proper oral hygiene in the affected area. In some cases, the trapped tooth may cause the development of a cyst, which can lead to more severe complications if left untreated.
When diagnosing soft tissue impaction, dentists typically conduct a thorough clinical examination, often using dental X-rays to assess the position of the impacted teeth and determine the appropriate treatment plan. Management options for soft tissue impaction include regular monitoring, prescription of antibiotics for infection control, and, in more severe cases, surgical extraction. Regular monitoring is crucial to ensure that any potential complications are promptly addressed, while antibiotics can help mitigate the risk of infection. Surgical extraction is often recommended for cases where the impacted tooth poses a significant risk to the surrounding structures or when persistent symptoms persist despite conservative management.
Partial bony impaction of wisdom teeth occurs when the third molars, commonly known as wisdom teeth, only partially emerge through the gum line, becoming trapped beneath the surface. This condition often results in discomfort, swelling, and an increased risk of infection due to the difficulty in cleaning the partially exposed tooth. The impacted tooth can also exert pressure on adjacent teeth, leading to misalignment and potential damage to the surrounding structures.
Management of partially impacted wisdom teeth often involves a thorough examination by a dentist or oral surgeon to assess the severity of the impaction. X-rays are typically used to evaluate the position of the tooth and determine the appropriate course of action. Depending on the specific circumstances, treatment may involve techniques such as surgical extraction to prevent further complications and alleviate discomfort. Early intervention is crucial to prevent potential complications associated with partial bony impaction, such as infection, gum disease, and damage to neighboring teeth.
These teeth are renowned for their tendency to cause oral health issues due to their frequent impaction. Their unique characteristic lies in their complete encapsulation within the jawbone, often leading to difficulties during their extraction. Encased in bone, these third molars can pose various complications such as infections, cysts, and damage to nearby teeth, necessitating surgical removal in many cases.
Moreover, the close proximity to the nerves and sinuses in the jaw further complicates their removal, often leading to post-operative discomfort and swelling. Hence, the complete bony housing of wisdom teeth necessitates attentive monitoring and, in many instances, timely intervention to prevent complications and maintain optimal oral health.
Horizontal wisdom teeth, also known as impacted wisdom teeth, are a common dental condition where the third molars fail to erupt properly and instead grow horizontally against the adjacent teeth. This malposition can lead to various complications, including severe pain, infection, and damage to nearby teeth. The horizontal orientation of these teeth can exert pressure on the surrounding structures, causing discomfort and misalignment of the dental arch.
Management of horizontal wisdom teeth often involves surgical extraction to prevent further complications. Dentists and oral surgeons typically employ advanced imaging techniques such as panoramic X-rays or CT scans to assess the exact position of the impacted teeth and plan the most effective extraction method. By carefully removing the horizontally impacted wisdom teeth, dental professionals can alleviate the associated pain, prevent potential infections, and preserve the overall alignment and health of the remaining teeth.
Angular wisdom teeth, also known as impacted wisdom teeth, represent a common dental issue where the third molars attempt to emerge at an oblique angle rather than vertically or horizontally. This positioning often leads to significant discomfort and potential dental complications. The angled eruption can cause the wisdom teeth to press against neighboring molars, resulting in pain, swelling, and potential damage to adjacent teeth and the jawbone. If left unaddressed, angular wisdom teeth can also contribute to the development of infections, cysts, or even tumors, emphasizing the importance of timely intervention and removal by a dental professional.
Orthodontic experts emphasize the significance of early detection and treatment for angular wisdom teeth to prevent subsequent oral health complications. As these teeth try to erupt at an angle, they often lack the necessary space within the jaw, leading to potential overcrowding and misalignment issues. Moreover, the abnormal positioning can make thorough cleaning and maintenance challenging, increasing the likelihood of plaque buildup and subsequent gum disease. Consequently, timely intervention, often through surgical extraction, is crucial to minimize the risk of prolonged discomfort and ensure the overall well-being of the patient’s oral cavity.
Vertical wisdom teeth, also known as upright wisdom teeth, refer to the position in which these third molars grow in a relatively vertical orientation within the jaw. This particular orientation can often be advantageous, as vertically positioned wisdom teeth typically cause less discomfort and are less likely to affect the surrounding teeth. With vertical growth, these teeth are more likely to emerge properly aligned and may not require immediate extraction or surgical intervention.
However, despite their relatively favorable positioning, vertical wisdom teeth can still pose some potential risks. While they might not cause immediate discomfort, they can still be susceptible to the development of dental issues over time, such as cavities and periodontal disease. Additionally, even though they may not impinge on adjacent teeth, vertical wisdom teeth can still lead to the formation of gum problems or cysts if proper oral hygiene is not maintained. Therefore, regular dental check-ups are crucial to monitor the condition of vertically growing wisdom teeth and ensure timely intervention if necessary.
What does the wisdom teeth removal procedure entail, and what are the potential risks and complications?
The wisdom teeth removal procedure involves several key steps. Typically, the dentist or oral surgeon begins by administering a local or general anesthetic to ensure the patient’s comfort during the surgery. They then make an incision in the gum tissue to expose the tooth and bone, removing any bone that may be blocking access to the tooth’s root. Subsequently, the tooth is carefully extracted, sometimes in sections to ease the process. Once the tooth is removed, the incision is stitched closed to promote proper healing. In certain cases, dissolvable stitches may be used. The duration of the procedure depends on the complexity of the case, the number of teeth being extracted, and the patient’s specific oral health circumstances.
While wisdom teeth removal is a common and often straightforward procedure, there are potential risks and complications that patients should be aware of. These include the risk of infection at the surgical site, nerve damage that may result in numbness or altered sensation in the mouth, and potential damage to nearby teeth, gums, or jawbone during the extraction process. Excessive bleeding, dry socket (a painful condition where the blood clot is disrupted before the healing process is complete), and complications related to anesthesia are also possible. It’s crucial for patients to follow post-operative care instructions diligently to minimize these risks and ensure a smooth recovery. Patients should discuss their specific concerns with their dental care provider to better understand the individualized risks associated with their procedure.
How many wisdom teeth do I need to have removed, and what is the timeline for the procedure?
The number of wisdom teeth that need to be removed can vary from person to person based on several factors, including the size of the jaw, the angle of the teeth, and the presence of any potential complications. Most adults have four wisdom teeth, one in each corner of the mouth, but some individuals may have fewer or even more. During the initial consultation, your dentist or oral surgeon will conduct a thorough examination, often aided by X-rays, to assess the positioning and condition of your wisdom teeth. Based on this evaluation, they will recommend whether all four, some, or none of your wisdom teeth need to be removed.
The timeline for the wisdom teeth removal procedure can also vary depending on the complexity of the case and the number of teeth that need to be extracted. Generally, the procedure itself typically takes anywhere from 45 minutes to an hour for straightforward cases. However, more complex situations, such as impacted wisdom teeth or those with complicated positioning, may require more time for a safe and thorough extraction. It’s crucial to consult with your dentist or oral surgeon to get a clear understanding of the timeline for your specific procedure, as it may vary based on your individual circumstances and any potential complications that might arise during the surgery.
Are there any specific preparations or dietary restrictions I should follow before the surgery?
Yes, there are several specific preparations and dietary restrictions that you should follow before undergoing wisdom teeth removal surgery. These are typically recommended to ensure a smooth and successful procedure:
- Fasting: You will likely be instructed to fast for at least 8 hours before the surgery, especially if you are undergoing general anesthesia. This helps prevent any complications related to anesthesia and reduces the risk of aspiration during the procedure.
- Medication: Inform your dentist or oral surgeon about any medications or supplements you are currently taking. They may advise you to adjust or temporarily stop certain medications before the surgery.
- Transportation: Arrange for someone to drive you home after the procedure, as the effects of anesthesia or pain medications can impair your ability to drive safely.
- Comfortable Clothing: Wear loose, comfortable clothing on the day of the surgery to ensure you remain relaxed and at ease during the procedure.
- Dietary Restrictions: Your dentist or oral surgeon may recommend sticking to a soft or liquid diet for a few days after the surgery. Stock up on nutritious, easy-to-eat foods like yogurt, soups, smoothies, and mashed vegetables to aid in the healing process.
It’s essential to follow your dentist’s or oral surgeon’s instructions carefully to ensure a successful surgery and smooth recovery. If you have any concerns or specific dietary needs, don’t hesitate to discuss them with your dental care provider before the procedure.
What type of anesthesia will be used during the procedure, and what are the potential side effects?
The type of anesthesia used during a wisdom teeth removal procedure can vary depending on the complexity of the case, the patient’s preference, and the dentist’s or oral surgeon’s recommendation. There are generally three types of anesthesia used for this procedure:
- Local Anesthesia: This type of anesthesia numbs the specific area where the surgery will take place. It is often used for simple wisdom teeth extractions and allows the patient to remain awake during the procedure.
- Sedation Anesthesia: This form of anesthesia induces a relaxed, drowsy state during the procedure. It can be administered orally, intravenously, or through inhalation, and it helps alleviate anxiety and discomfort during the surgery.
- General Anesthesia: This type of anesthesia renders the patient completely unconscious during the procedure. It is typically recommended for complex or multiple wisdom teeth extractions and may involve an anesthesiologist to monitor the patient’s vital signs throughout the surgery.
Potential side effects of anesthesia can include nausea, vomiting, dizziness, and drowsiness. With general anesthesia, there is a small risk of more severe complications, such as allergic reactions, breathing difficulties, and adverse reactions to medications. However, these risks are typically minimal and can be managed effectively by a trained medical team. It’s important to discuss any concerns or questions about anesthesia with your dentist or oral surgeon before the procedure to ensure you are fully informed and prepared.
What is the expected recovery time, and what post-operative care measures should I take?
According to the American Association of Oral and Maxillofacial Surgeons (AAOMS), recovery time after wisdom teeth removal varies depending on individual circumstances, such as the complexity of the extraction and the number of teeth removed. Generally, the initial recovery period can take about a few days to a week, during which some discomfort and swelling are common. However, complete healing may take a few weeks.
Post-operative care is crucial to ensure proper healing and prevent complications. Some standard measures recommended by the AAOMS and other dental associations include:
- Taking prescribed or over-the-counter pain medications as directed.
- Applying ice packs to the cheeks to reduce swelling.
- Using gauze pads to control bleeding and promote blood clotting in the extraction site.
- Eating soft foods and avoiding hard, chewy, or spicy foods that might irritate the surgical sites.
- Avoiding strenuous physical activity for a few days.
- Maintaining good oral hygiene, gently brushing teeth and rinsing the mouth with warm salt water.
- Avoiding smoking or drinking through a straw, as these activities can dislodge blood clots and delay healing.
- Following any specific post-operative instructions provided by your oral surgeon or dentist.
To get the most accurate and up-to-date information, it’s always best to consult your oral surgeon or dentist. They can provide you with a comprehensive guideline tailored to your specific condition and needs.
What is the cost of wisdom teeth removal in Houston, and will dental insurance cover it?
The cost of wisdom teeth removal in Houston can vary based on several factors, including the complexity of the extraction, the number of teeth being removed, the need for sedation or anesthesia, the dentist or oral surgeon’s experience, and the specific dental clinic where the procedure is performed. On average, the cost can range from $75 to $200 per tooth for a simple extraction, while a more complex extraction may cost between $225 and $600 per tooth. If general anesthesia is required, the cost can increase further. Additional fees may also apply for initial consultations, X-rays, and post-operative follow-up appointments. It’s important to consult with your dentist or oral surgeon to get an accurate estimate of the total cost for your specific case, as they can provide a more detailed breakdown of the expenses involved in the procedure.
Whether dental insurance covers wisdom teeth removal depends on the specific policy and coverage details outlined in the insurance plan. Some dental insurance plans provide partial or full coverage for wisdom teeth removal, particularly if the procedure is deemed medically necessary. However, coverage may vary, and certain insurance plans may have specific limitations or exclusions regarding the extent of coverage for dental procedures. It is advisable to review your dental insurance policy, including any applicable deductibles, co-payments, and coverage limitations, and to consult with your dental insurance provider to understand the extent of your coverage for wisdom teeth removal before undergoing the procedure.
How soon after the procedure can I resume normal activities, including work, exercise, and eating normally?
The timeline for resuming normal activities after wisdom teeth removal can vary based on individual factors such as the complexity of the procedure, the number of teeth extracted, and the rate of healing. However, here is a general guideline to consider:
- Work: You can typically return to work within a few days after the surgery, depending on how physically demanding your job is. For desk-based or less strenuous occupations, you might be able to return to work within 1-2 days. However, for physically demanding jobs, you may need to take a few more days to recover fully before resuming work.
- Exercise: It’s advisable to avoid strenuous exercise for at least a week after the procedure to prevent complications such as increased bleeding or delayed healing. Engaging in vigorous physical activities too soon can also cause discomfort and potentially dislodge the blood clot, leading to a dry socket.
- Eating: Initially, sticking to a soft diet is recommended for the first few days to promote healing and minimize discomfort. You can gradually reintroduce solid foods as you feel more comfortable, typically within a week. Avoid hard, crunchy, or spicy foods that can irritate the surgical site, and opt for softer, easy-to-chew options during the initial phase of recovery.
It’s crucial to follow your dentist’s or oral surgeon’s post-operative instructions closely to ensure a smooth and successful recovery. If you have any concerns or experience unusual symptoms during your recovery, do not hesitate to contact your dental care provider for guidance and support.












