Full Mouth Rehabilitation For Houston Residents
Let's be real for a moment. Your smile is so much more than just teeth. It's how you show the world your confidence, how you light up a room, and honestly? It can completely change how you feel about yourself.
I can't tell you how many patients have walked into our Houston dental office feeling defeated. Hiding their smiles. Avoiding photos. Feeling embarrassed about years of dental struggles. But here's the good news: full mouth reconstruction isn't just a dental procedure. It's a total life transformation.
Think of it like a complete home renovation—but for your mouth. We’re not just fixing a tooth here or there. We’re completely redesigning and rebuilding your entire smile from the ground up. This comprehensive approach means we’re tackling multiple dental issues at once, creating a solution that goes far beyond simple repairs.
Some patients come to us with decades of dental challenges. Maybe you’ve lived with missing teeth, chronic pain, or a smile that makes you feel self-conscious. Full mouth reconstruction is about more than just aesthetics. It’s about restoring function, eliminating pain, and giving you back the confidence to live your life fully.
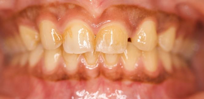
It typically involves a combination of restorative, cosmetic, and neuromuscular procedures to address a wide range of dental issues, including tooth decay, gum disease, tooth loss, worn teeth, bite problems, and damaged or misaligned teeth.
Who Needs This Kind of Dental Makeover?
Our ideal patients are those who have struggled with complex dental issues for years. We see people dealing with severe tooth decay that’s gone beyond simple fillings. Patients with multiple missing teeth who’ve avoided social situations. Individuals experiencing chronic jaw pain that impacts their daily life.
Whether it’s from years of grinding, inherited dental conditions, damage from accidents, or long-term medical treatments, we understand that your dental journey is unique. We’ve helped patients who thought their smile was beyond repair discover a completely new way of living.
Our Best Dental Approach (Because We Actually Care)
We don’t just look at teeth. We look at you—your entire story, your goals, your fears.
Our process begins with a deep, meaningful conversation. This isn’t a quick exam where you’re in and out in five minutes. We take the time to understand your dental history, your concerns, and your dreams. We want to know what makes you self-conscious, what your ideal smile looks like, and what dental experiences might have scared you in the past.
From there, we create a totally personalized treatment plan. This might involve a combination of advanced treatments like dental implants that look and feel completely natural, custom crowns, comprehensive gum treatments, bite corrections, and cosmetic enhancements. Every step is designed specifically for you.
Let’s Talk Money (Because We Know It Matters)
We understand that full mouth reconstruction is a significant investment—in yourself, your health, your confidence. In Houston, the cost can range from around $15,000 for basic reconstruction to $50,000 or more for complex, comprehensive transformations.
We know those numbers can sound intimidating. That’s why we’ve developed flexible financial options to make your dream smile achievable. We offer comprehensive payment plans, help with insurance navigation, third-party financing options, and work with health savings accounts to make your transformation as stress-free as possible.
Why Choose Us? Because We’re Not Just Another Dental Office
What sets us apart isn’t just our technology or our expertise. It’s our commitment to you as a person. We create a compassionate, judgment-free environment where you’ll feel heard and supported. Our team combines cutting-edge dental technology with genuine human care, ensuring that your journey is both scientifically precise and emotionally supportive.
Meet Your Full Mouth Reconstruction Specialist Dr. Jasmine Naderi
Dr. Jasmine Naderi is an experienced restorative dentist at Best Dental in Houston, where she performs comprehensive full mouth reconstruction procedures for patients seeking complete oral health restoration throughout the Houston area. With her extensive expertise in complex dental rehabilitation and multidisciplinary treatment planning, Dr. Naderi skillfully combines various advanced procedures including crowns, bridges, implants, and periodontal therapy to rebuild damaged or deteriorated smiles.
At Best Dental, she employs sophisticated diagnostic tools and collaborative care approaches to address both functional and aesthetic concerns, creating customized treatment plans that restore proper bite alignment, oral health, and natural beauty. Dr. Naderi’s dedication to comprehensive patient care and her ability to manage complex cases has made her a respected choice for Houston residents requiring full mouth reconstruction in a supportive, technologically advanced dental practice.
Our Full Mouth Restorations Before And After









